💰 비용은 얼마일까? 한 번에 싹 정리!
배가 아프거나 뭔가 찝찝한 느낌이 들 때, 병원에서 가장 많이 권하는 검사 중 하나가 복부 CT(Computed Tomography) 촬영이야!
그런데… "CT 찍으면 정확히 뭐가 보이는 거야?" 🤔
"비용은 얼마야? 건강보험 적용돼?" 이런 궁금증이 한 번쯤은 들지?
오늘은 복부 CT로 알 수 있는 질병 & 검사 비용까지 완전 쉽게 정리해볼게!
이 글만 보면 복부 CT 검사, 완전 마스터 가능! 👇👇
🏥 복부 CT 검사로 알 수 있는 질병
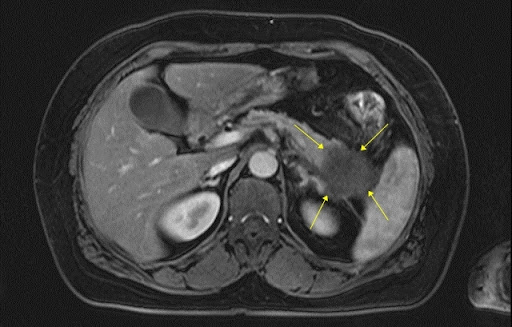
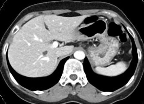
복부 CT는 X-ray(엑스레이)보다 훨씬 정밀한 영상을 찍을 수 있어서, 다양한 장기의 상태를 한눈에 볼 수 있어!
CT 촬영을 하면 다음과 같은 질병들을 빠르게 확인할 수 있음!
1️⃣ 소화기 질환 (위·장·간·췌장·담낭 문제)
🔹 위장관 천공(구멍) – 위나 장에 구멍이 뚫려 응급 상황일 수도 있음
🔹 장폐색(장 막힘) – 장이 막혀서 심한 복통이 지속될 때
🔹 맹장염(충수염) – 맹장이 부어서 터지기 직전? CT로 확실하게 확인 가능!
🔹 간 질환 – 지방간, 간경화, 간암 등 확인 가능
🔹 췌장염·췌장암 – 췌장에 염증이 생기거나 종양이 있는지 체크 가능
🔹 담낭염(담석증) – 담석(돌)이 생겼는지, 담낭에 염증이 있는지 확인
2️⃣ 신장 & 비뇨기 질환
💧 신장 결석 – 신장(콩팥)에 돌이 생겼을 가능성이 있다면 CT 촬영이 필수!
💧 신우신염 – 신장에 염증이 생기면 CT로 확실하게 볼 수 있음
💧 방광·요관 문제 – 요로 결석, 방광 종양 등도 확인 가능
3️⃣ 복부 내 출혈 & 혈관 문제
🩸 복부 대동맥류 – 복부 혈관이 비정상적으로 부풀었을 경우 위험할 수 있음
🩸 내출혈(복강 내 출혈) – 교통사고나 외상으로 출혈이 있을 때
4️⃣ 암(종양) 발견
🎗 간암, 췌장암, 대장암, 신장암 등 초기 단계에서 발견 가능!
🎗 양성종양 or 악성종양(암) 판별 – 혹이 생겼다면 악성인지 양성인지 확인할 수 있음
🔥 결론: 복부 CT 한 방이면?
💡 위·장·간·췌장·신장·방광·혈관 문제까지 한 번에 체크 가능!
💡 특히 심한 복통, 지속적인 소화불량, 복부 압통이 있다면 꼭 검사 필요!
💰 복부 CT 촬영 비용, 얼마일까?
복부 CT는 검사 방법(조영제 사용 여부)에 따라 비용이 달라져!
병원마다 차이가 있지만, 대략적인 비용은 아래와 같아.
검사 종류 | 비용 (비보험 시) | 건강보험 적용 시 |
단순 복부 CT (조영제X) | 15만~30만 원 | 5만~10만 원 |
조영제 포함 CT | 25만~50만 원 | 8만~15만 원 |
🚨 건강보험이 적용되는 경우
✅ 맹장염, 장폐색, 신장 결석 등 의학적으로 필요한 경우
✅ 의사가 필요하다고 판단하면 보험 적용 가능!
🚫 비보험(본인 부담)으로 찍어야 하는 경우
❌ 건강검진 목적으로 CT를 찍는 경우
❌ 환자가 단순히 “확인하고 싶어서” 요청할 때
👉 만약 보험 적용이 어려운 경우, 종합병원보다는 대학병원이나 건강검진센터 프로모션을 찾아보는 게 더 저렴할 수도 있음!
🔥 복부 CT, 촬영할 때 주의할 점!
✅ 조영제(Contrast) 사용 여부 확인!
- 조영제는 혈관을 더 뚜렷하게 보이게 해 주는 약물인데, 신장 기능이 안 좋은 사람은 부작용이 있을 수 있음!
- 만약 조영제 사용이 필요하다면 미리 물 충분히 마시고, 신장 상태 체크하기!
✅ 금식 필요 여부 체크!
- 보통 조영제를 사용하는 CT라면 촬영 4~6시간 전부터 금식이 필요함!
- 물은 마셔도 되는 경우도 있지만, 카페인 음료(커피, 차) 등은 피하는 게 좋음.
✅ 임산부는 신중하게!
- CT는 X-ray보다 방사선이 강하기 때문에, 임산부라면 초음파 검사를 먼저 고려하는 게 좋아.
- 하지만 응급 상황이라면 의사의 판단하에 CT 촬영이 필요할 수도 있음!
📌 복부 CT, 꼭 찍어야 할까? 이런 증상 있으면 고민하지 말고 GO!
✅ 배가 심하게 아픈데, 원인을 모르겠다면?
✅ 맹장염, 장폐색, 췌장염 같은 응급 질환이 의심될 때
✅ 소화불량, 복부팽만, 체중 감소 등의 원인을 찾고 싶을 때
✅ 간·췌장·신장 등 주요 장기의 상태를 정밀하게 확인하고 싶을 때
👉 위와 같은 증상이 있다면 병원에서 진료 후, 필요하면 CT 촬영을 고려해 보자!
내 몸을 가장 잘 아는 사람은 나!
큰 병이 생기기 전에 미리 체크하는 게 최고의 건강 관리 방법이니까! 💪😊
마무리: 복부 CT, 겁먹지 말고 필요할 때 찍자!
복부 CT 촬영은 빠르고 정확한 검사 방법이라, 특히 심한 복통이나 장기 질환이 의심될 때 꼭 필요해!
💡 맹장염, 장폐색, 간·췌장·신장 문제까지 한 방에 확인 가능!
💡 건강보험 적용 시 5~15만 원 정도로 저렴하게 검사 가능!
💡 조영제 사용 여부 & 금식 여부 미리 체크하고 가기!
👉 혹시라도 "이거 CT 찍어야 하나?" 고민된다면 병원 가서 상담 먼저 받아보는 게 답!
건강은 미루지 말고, 조기 발견이 최선이니까!
'의학 정보' 카테고리의 다른 글
🌸 갱년기 증상과 대처법! 효과 좋은 음식까지 완벽 정리 🌸 (1) | 2025.03.11 |
---|---|
CT촬영 비용 비교 : 보험, 비보험 기준 (0) | 2025.03.11 |
복부팽만 원인 및 해결방법, 배 가스차는 이유 (0) | 2025.03.08 |
👀 근시·난시·원시 교정 및 치료 방법 총정리 🔥 (0) | 2025.03.06 |
🚑 ‘129 사설응급차’ 이용 가이드: 응급상황 대처부터 비용까지 완벽 정리 (0) | 2025.03.06 |